Dolar
44,0232
Euro
51,1424
Altın
7.194,34
Bist
13.078,93
Bu kür yaşlanma belirtilerini durduruyor
Limon ve sarımsakla hazırlanan bitkisel kür, ciltteki yaşlanma belirtilerini durduruyor.
Hazır yoğurtlardaki kanser tehlikesi
Uzmanlar, en çok tüketilen besinler arasında yer alan hazır yoğurtlardaki kanser tehlikesine dikkat çekiyor...
Türkiye antibiyotik tüketiminde dünya birincisi
Yapılan araştırmada Türkiye'de yoğun antibiyotik kullanımının olduğu açıklandı. Türkiye'de her 10 hastadan 3'ü antibiyotik kullanıyor.
Her gün karabiber tüketmenin faydaları
Karabiberin yemeklere kattığı lezzet kadar, sağlığımız açısından da birden çok faydası bulunuyor. İşte her gün karabiber tüketmenin bilmediğiniz faydaları...
Canan Karatay'dan kurtlu elma tavsiyesi
İç Hastalıkları ve Kardiyoloji Uzmanı Prof. Dr. Canan Karatay, 'Modern hayat, modern yataklar çıktıktan sonra hanımların, beylerin ağrılar arttı. Modern yataklar ağrı sebebi.' dedi.
Kemik erimesi artık daha kolay
Kemik erimesinin belli yaş seviyesinden sonra görülme olasılığı artıyor.
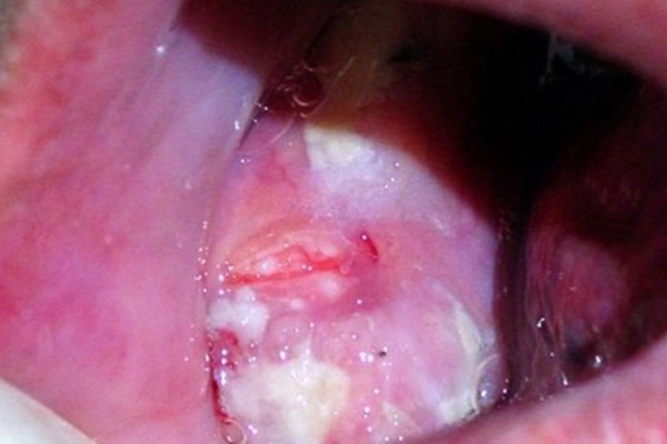
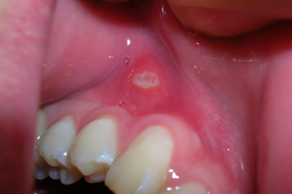
Aft çıkarsa bunları yapın
Aft, ağzın iç kısmında çıkan genellikle küçük oval şekilde beyaz ülserdir. İşte aftları evde tedavi etme yöntemleri...
Sağlığınızı bir dakikada test edin
Sadece bir kaşık kullanarak yapabileceğiniz bu testle iç organlarınızın sağlığını kontrol edebilirsiniz.
Burun tıkanıklığından bir dakikada kurtulun
Burun tıkanıklığının sebebine göre mücadele için doğru yol seçmeli ve semptomlardan tamamen kurtulmalısınız.
Bu belirtiler varsa dikkat!
Beslenme programıyla kontrol edilebilen basur, genelde cerrahi müdahale ister. Peki basurun belirtileri nelerdir? İşte cevabı...
Öfke problemi olanlara çözüm önerileri
Uzman Psikolog Yasemin Aydoğdu, öfke problemi olanlara çözüm önerilerinde bulundu.
Saç egzamasının belirtileri
Egzama için kısaca deri iltihabı denilebilir. Saçlı deride görüldüğü zaman saç egzaması adını alır. Peki saç egzamasının belirtileri nelerdir?
Ağzınıza acı su geliyorsa dikkat
Mide fıtığı, midenin üst kısmının yemek borusuna doğru sarkmasına denir.
Bu hastalığı doktorla konuşmak hayatınızı kurtarabilir
Dr. Jonathan Efron, bağırsak hareketlerine ilişkin doktorla oturup konuşmanın hayat kurtaracağını söylüyor.
Yemeğinizi elinizle yiyin
Elle yemek yemek sağlıklı bir eylem. İşte elle yemek yemenin faydaları...
Ağız kokunuzun nedeni bu olabilir
Kötü ağız kokusu, bademcik taşlarından kaynaklanabiliyor...
Dikkat: Ağzınızda bu belirtiler varsa...
Ağız kanseri, dudak üzeri, ağzın içerisi, gırtlak, bademcik veya tükürük bezlerinin arkasında oluşan mikropların birikimi sonucunda oluşuyor.
'Çocukların bağışıklığının bir şekilde bunlarla karşılaşması ve savunması lazım'
Çocuk Sağlığı ve Hastalıkları Uzmanı Doktor Ahsen Dönmez okulların açılmasıyla birlikte çocukların bazı hastalıklarla karşı karşıya kaldığını söyleyerek, 'Çocukların bağışıklığının bir şekilde bunlarla karşılaşması ve savunması lazım' dedi.
Nükleer tıpta 'akıllı molekül' dönemi
Türkiye Nükleer Tıp Derneği Başkanı Özcan: 'Akıllı moleküllerle hedef tümör hücrelerinin çok küçük boyutlarda yakalanması ve son teknoloji ürünü olan gelişmiş hibrit görüntüleme sistemleri ile bunların gösterilmesi mümkün hale geldi'
Diş eti kanamasına doğal çözüm
Diş eti kanamasını geçirecek ilaç veya herhangi bir tıbbi müdahale maalesef yok. Kendi kendine veya bir şey yerken yada dişlerimizi fırçalarken çoğumuzun başına gelen diş eti kanaması artık alternatif tıbbın etkisiyle ortadan kalkıyor.
Tırnak beyazlaması nasıl önlenir?
Tırnakların üzeriden zaman zaman beyaz lekelerin oluştuğu gözlemlenir. İşte bu lekelerden kurtulmanın yöntemleri...
Kanseri önlüyor, kansızlığa çare oluyor
Beluga mercimeği (kara mercimek( olarak bilinen bakliyat ,sağlık açısından inanılmaz faydalar sağlıyor.
Bu vitaminin eksikliği kör edebilir
11 yaşındaki bir çocuk oldukça sınırlı beslenme şeklinden dolayı görme yetisini kaybetti.
Gebelikten önce bu konuda önlem alın
Spina Bifida hastalığı, bebekleri binde 3-4 gibi hatırı sayılacak bir oranda etkileyen bir durumdur.
Kanıtlandı: Çürük dişleri yeniliyor
Belfast Queen's Üniversitesi'nde yapılan araştırmada, aspirinin hafif dozda bile alındığında çürük dişlerin tedavi edilmesini sağladığı ortaya çıktı.
İşte aşurenin bilinmeyen faydaları!
Nobel'de Türkiye damgası
Nobel Tıp Ödülü'nün bu yılki sahiplerinden Amerikalı bilim adamı Prof. Dr. Young'ın son çalışmasındaki 'uykusuzluk geninin' keşfinin, Bilkent Üniversitesinden Prof. Dr. Özçelik ile ortaklaşa Türkiye'de yürütülen bir çalışmada yapıldığı ortaya çıktı.
Sağlık Bakanlığı o ilaçların hepsini geri çekti!
Sağlık Bakanlığı Türkiye İlaç ve Tıbbi Cihaz Kurumu tarafından, mide rahatsızlıklarında kullanılan 15 ilaç geri çekildi.
'Her Gün 10 Bin Adım'
Sağlık Bakanlığı, 3 Ekim Dünya Yürüyüş Günü kapsamında hareketli yaşamın önemini vurgulamak için vatandaşlara “Her Gün 10 Bin Adım” çağrısında bulundu.
Aman dikkat! 15 mide ilacı yasaklandı
Sağlık Bakanlığı Türkiye İlaç ve Tıbbi Cihaz Kurumunca, mide rahatsızlıklarında kullanılan 'domperidon' etkin maddeli 15 ilaç geri çekildi.
Haber Ara