Dolar

44,1739

Euro

50,6200

Altın

7.103,61

Bist

13.092,93

Telefon bağımlılığına kesin çözüm

Ortalama bir insan, günde yaklaşık 4-5 saatini telefonunda geçiriyor. Eğer bunu 20-80 yaşları arasında yapsalar, hayatlarının 10 yılından fazlasını ekranda geçirmiş oluyorlar.

2 Yıl Önce Güncellendi

2024-02-02 15:35:43

Telefon bağımlılığına kesin çözüm

Telefonlar harika bir buluş ama düşündüğünüzden daha zehirliler.

En kötü kısmı bu bile değil...

Kronik telefon kullanımının beyin kimyasını değiştirdiği gösterilmiştir.
Bağımlılık işareti olabilen GABA üretimi etkilenir.
Beynin daha fazlasını istemesine yol açan dopamin üretimini tetikler.

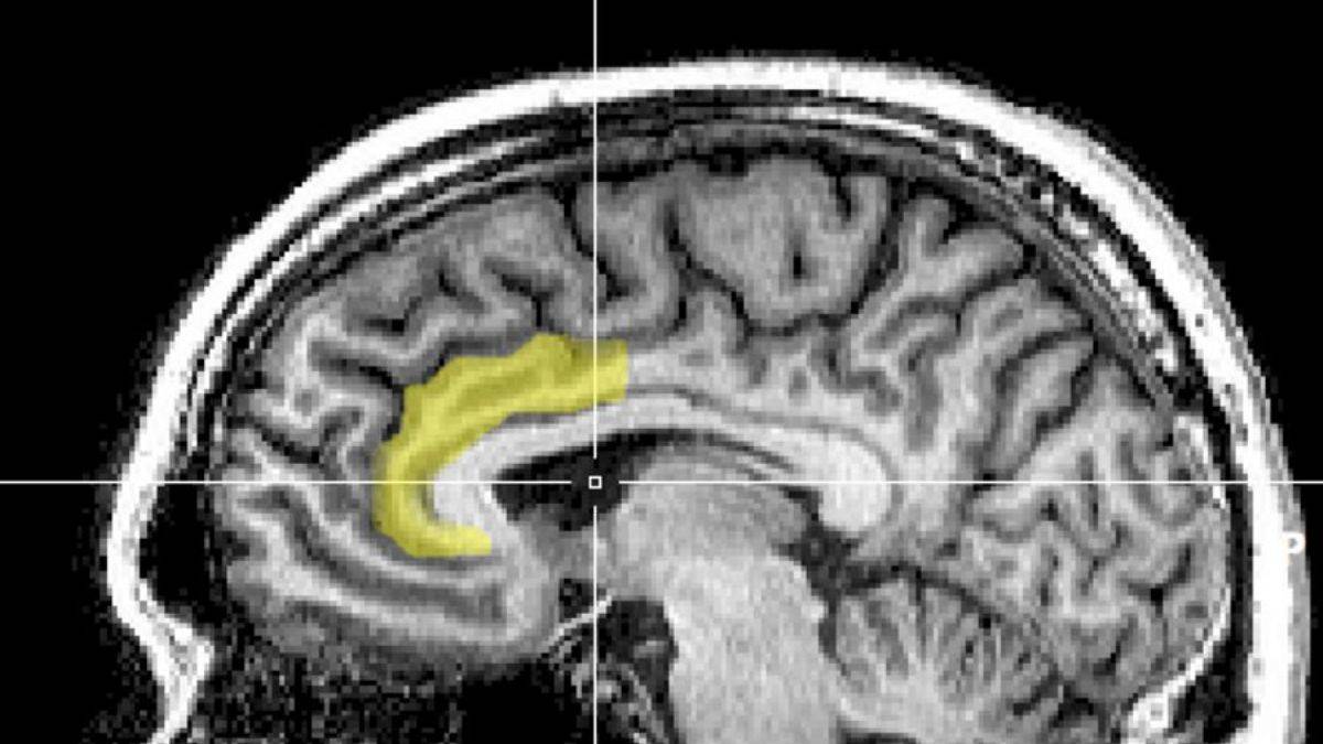
Gri maddede kayıp:

Gri madde; hareketi, hafızayı ve duyguları kontrol etmekten sorumludur. Bir araştırmaya göre, telefon bağımlısı birinin beyni uyuşturucu kullanıcılarının beynine benzer şekilde daha ince gri maddeye sahip (MRG).

12_20

Beyaz madde de hasar:

Beyaz madde bütünlüğü vücudun bilgiyi işlemesine yardımcı olur ve zekayla ilişkilidir. Telefon bağımlılığının, beyinde iletişim kaybı anlamına gelen benekli (hasarlı) beyaz madde oluşturduğu gösterilmiştir.

ÖNEMLİ NOT:

Bağımlılığa neden olan telefonların kendisi değildir.
Bağımlılık büyük ölçüde uygulamalardan kaynaklanmaktadır. Uygulamalar, beyninizdeki bazı süreçleri değiştirerek dikkatinizi çekmek için tasarlanır.
Telefonu, uygulamaların tetiği çektiği silah olarak düşünün.

TELEFON BAĞIMLILIĞININ TEHLİKELERİ

· Anksiyete
· Depresyon
· Araba kazaları
· Göz yorgunluğu
· Boyun ve sırt ağrısı
· Uyku bozuklukları
· İlişki sorunları
Cep telefonu bağımlısı olmak zihinsel ve fiziksel sağlığımıza zarar verebilir.
Ama bağımlı mısın?

GFL48P4WkAAHkag

TELEFON BAĞIMLILIĞININ BELİRTİLERİ

· Özlemek
· Canı sıkıldığında daima telefona uzanmak
· Çocuklarından veya sevdiklerinden daha fazla ilgi göstermek
· Tehlikeli durumlarda kullanmak (örn. araba kullanırken mesaj atmak)
Bu alışkanlığınızdan vazgeçip 10 yıllık yaşamınızı geri almak ister misiniz?

GFL5k3kWUAA72Bm

1. FARKINDALIK

Ekran sürenize bakın ve gerçekçi olun.

Bağımlı olduğunuz tüm uygulamaları listelemeye başlayın ve neden telefonunuzda olması gerektiği konusunda kendinizi kandırmayın.

Bir sorunu çözmenin ilk adımı, ilk etapta bir sorununuz olduğunu kabul etmektir.

GFL6U72XUAAJ3a8

2. TETİKLEYİCİLERİ KALDIRIN

Sizi telefonunuza yapıştıran her şeyden kurtulun.

Telefonunuzda yalnızca temel uygulamaları bulundurun.

GFL6yFKXYAA02kV

Bağımlı olmayı bırakmanın büyük bir adımı, telefonunuzu sürekli elinizde tutmanıza neden olan uygulamalardan kurtulmaktır.

3. TELEFONUNUZU ÇİRKİNLEŞTİRİN

Renk beyninizi uyarır.

GFL7EzQWoAAok1S

Telefonunuzu gri tonlamalı / siyah beyaz olarak ayarlayın. Bu beyninizin aradığı uyaran ve yeniliği azaltır.

4. ORTAMI DEĞİŞTİRİN

İş yaparken veya ailenizle birlikteyken telefonunuzu farklı bir odaya koyun.

Uyumadan önce telefonu mümkün olduğunca uzağa koyun.

Telefon süresini azaltmanın en iyi yolu onu ortamınızdan tamamen kaldırmaktır.

5. TÜM SESLERİ, TİTREŞİMLERİ VE BİLDİRİMLERİ KAPATIN

Bunlar, her zaman telefonunuza bağlı kalmanıza neden olur.

GFL7n_VXQAAEjk-

Ailenizden ve arkadaşlarınızdan almanız gerekenler dışında, hepsini kapatın.

Bu, her ses duyduğunuzda bilinçsizce ona uzanmanızı önler.

6. TELEFONSUZ BÖLGELERİ OLUŞTURUN

Uyumadan önce saatlerce yatakta uzanıp telefonla vakit geçirme eğilimindeyiz ve telefonlarımızı yemek masasına götürüyoruz.

GFL8EuDXYAA7pqJ

Evinizde belirlenmiş TELEFONSUZ bölgelere, onu nerede kullanacağınıza (ve kullanmayacağınıza) ilişkin katı kurallara ve teşviklere ihtiyacınız var.

7. ALTERNATİF OLUŞTURUN

Alışkanlıklardan kaçmıyorsunuz. Onları değiştiriyorsun.

Bu yüzden bu zamanı internette gezinmekten daha değerli bir şeyle (örneğin okumak, yürümek) doldurun.

8. KULLANIM SÜRESİ

Kullanım süresini takip edin ve azaltmaya çalışın.

Yorum Yap

İLGİNİZİ ÇEKEBİLİR
SON VİDEO HABER

Elektrikli otomobil kabusu: Sıfır araç 6 aydır serviste

Haber Ara