Dolar

42,5151

Euro

49,5945

Altın

5.784,47

Bist

10.973,42

Polis şüphelendi, hastane ortaya çıkardı! Makatından uyuşturucu çıktı

Kars'ta polisin yol kontrolü sırasında durdurduğu yolcu otobüsünde, hareketlerinden şüphelenilen İran uyruklu F.H. adlı yolcunun üzerinde yapılan kontroller sonrası, makatına sakladığı uyuşturucu tespit edildi. Kars Harakani Devlet Hastanesi'nde çekilen röntgende ortaya çıkan uyuşturucu madde, cerrahi operasyonla çıkarıldı. Zanlı, çıkarıldığı mahkemece tutuklanarak cezaevine gönderildi.

9 Ay Önce Güncellendi

2025-04-11 11:27:43

Polis şüphelendi, hastane ortaya çıkardı! Makatından uyuşturucu çıktı

Kars Emniyet Müdürlüğü Narkotik Suçlarla Mücadele Şube Müdürlüğü ekipleri, Digor-Kars kara yolundaki uygulama noktasında durdurdukları bir yolcu otobüsünde arama yaptı. Ekipler, otobüste yolculuk yapan F.H. isimli İranlı şahsın hareketlerinden şüphelendi. Gözaltına alınan şüpheli, detaylı sağlık taraması için hastaneye götürüldü.

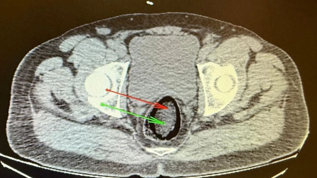
Harakani Devlet Hastanesi'nde yapılan taramalarda, şahsın makatında yabancı cisim olduğu belirlendi. Yapılan cerrahi müdahale sonucunda, 105,98 gram metamfetamin ele geçirildi. Ele geçirilen uyuşturucu maddenin piyasaya sürülmek üzere Türkiye'ye sokulmak istendiği değerlendiriliyor.

Emniyetteki işlemlerinin ardından adliyeye sevk edilen şüpheli F.H., çıkarıldığı nöbetçi hakimlikçe tutuklanarak cezaevine gönderildi. Olayla ilgili soruşturma çok yönlü sürdürülüyor.

DHA

Yorum Yap

İLGİNİZİ ÇEKEBİLİR
SON VİDEO HABER

Bakan Uraloğlu, kendi kullandığı araçla Dallıkavak Tüneli'nden geçti

Haber Ara